Fogszabályozás felnőtt fejjel: a kezdetek
27 éves voltam, amikor végre 30 fogorvosból megtaláltam azt az egyet, aki a szájsebészeti műtéten túllátott, és azt mondta, hogy igen, az esetemben valóban műtéttel lehetne tökéletes eredményt elérni, de felrakja a fogszabályozót, ha vállalom és elfogadom, hogy nem lesz hibátlan, 100 százalékos a fogsorom. Felcsillant a szemem, és beleegyeztem.
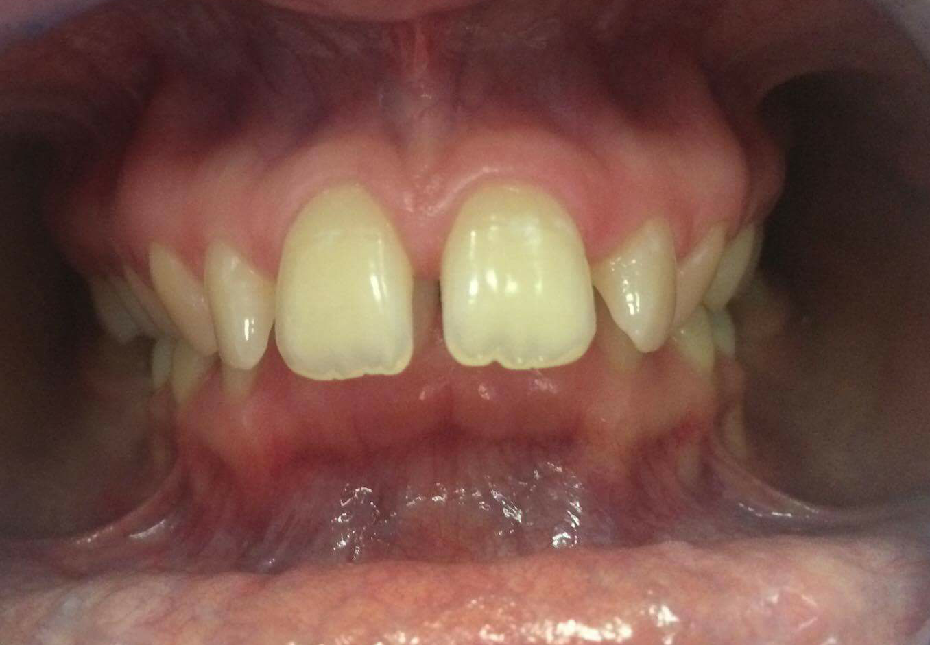
Ekkor kezdődött a közös munka Dr. Luib Fruzsinával, a Gyöngy Fogászat fogorvos-fogszabályozó orvosával. Fruzsi nem kertelt, elmondta a nehézségeket, komplett tervvel állt elő, és én csak azt vettem észre, hogy fémgyűrűk, fémívek és brekettek sokasága („tappancsok”) van a számban. Kutya nehéz volt. Itt fájt, ott fájt, nem tudtam enni, nem tudtam aludni, a készülék kidörzsölte a szám belsejét, és engem csak Fruzsi és az vigasztalt, hogy a kerítés fogsornak, és a kiálló fogaknak egyszer búcsút fogok inteni.
TIPP: Ne ijedj meg, ha eleinte kidörzsöli a szádat a készülék. Teljesen normális. Emlékszem, nekem Fruzsi erdei gyümölcsös viaszt adott, azt ragasztgattam a tappancsokra, így elviselhetőbb volt a dolog, nem bökte tovább a brekett a szám belsejét.
Bő másfél év
Nem voltam egy egyszerű eset: hézagos, előre álló fogsor egy kis mélyharapással megspékelve. Viszont ahogy telt-múlt az idő, elkezdtem észrevenni a változást. És nemcsak én, hanem a környezetem is: eltűnőben voltak a rések, harapásemeléssel pedig az alsó fogsorom is elkezdett felbukkanni, amit körülbelül 5 éves koromban láttam utoljára. Motivált a fejlődés, és bár mindenki arra volt kíváncsi mikor veszik már le, én azt tartottam szem előtt, hogy nem az számít, hanem hogy a legtöbbet hozzuk ki a dologból – ha már egyszer felkerült. Ezzel Fruzsina is egyetértett, sőt, le sem vette addig a készüléket, amíg úgy nem látta, igen, ezen a fogsoron már nem tud többet segíteni. Szerettem a maximalizmusát, teljesen rábíztam magam, és ez volt életem eddigi legjobb döntése. Bár sokan teljes idiótának néztek, hogy ennyi idősen bevállaltam ezt a tortúrát, viszont szerencsére a nagy többség vagánynak tartotta, hogy meg mertem lépni a fogszabályozást.
Végül rájöttem, hogy nem másnak, csakis magamnak akarok bizonyítani, és egy mosolygósabb, vidámabb életet élni. Így 2017. május 29-én megszületett az új Orsi.
|
Dr. Luib Fruzsina tippjei:
|
A levétel
Izgatott voltam, nagyon vártam, vagy százszor elképzeltem milyen lesz, de mégsem tudtam rá felkészülni. Nem volt hosszadalmas a levétel, viszont túl kellemes sem, de Fruzsitól már megszoktam, hogy minden lépését kommentálja, elmondja, épp mi történik, min dolgozik, így nem voltam feszült. Aztán lekerültek a tappancsok, a fémívek, a fémgyűrűk, a ragasztó a fogaimról és eljött a pillanat, amikor belenézhettem a tükörbe és 29 évesen végre megpillantottam azt a fogsort, amire mindig is vágytam. Számomra ez olyan fontos volt, hogy a mai napig könnybe lábad a szemem, ha rágondolok. Egy új időszámítás kezdődött. Végre nem takargatom a kezemmel a számat, ha elnevetem magam, és nem zavar, ha valaki lefotóz, mert tudok, merek, és akarok is mosolyogni.
A fogszabályozó utáni lét
A rögzített készülék után kaptam egy éjszakait is, ami már sokkal kényelmesebb, és még a színét is megválaszthattam.
Mivel nagyon réses volt a fogsorom belső íveket, úgynevezett retainert is felhelyezett Fruzsi mindkét fogívemre. Ezek abszolút nem zavaróak, viszont óriási biztonságérzetet adnak, hogy ne mozduljanak vissza a fogak.
Dr. Luib Fruzsina ajánlja: A kivehető készüléket is tisztítani kell. Heti kettő, de inkább három alkalommal egy pohár vízben oldjunk fel műfogsortisztító tablettát és tegyük bele az éjszakai készülékünket fél órára, különben bevízkövesedik, valamint egy idő után kellemetlen szaga lesz.
Tény, utáltam, hogy nem tudok nyilvános helyen, egy étteremben rendesen enni, mert féltem, hogy az étel beleragad a tappancsokba, nem tudtam beleharapni egy hamburgerbe, és nem éreztem magam valami komfortosan, ha nem volt a táskámban minimum egy tubus fogkrém és egy fogkefe, de most már azt mondom, megérte. Ezt meg kellett tennem, hogy végre kibéküljek önmagammal. 29 évesen épp ideje volt….
Olvass még több cikket fogszabályozás témában itt az NLCafén:
- 5+1 nő fogszabályozóval: enni vagy nem enni?
- Őrült trend: divat-fogszabályozó
- Így csinál szép fogsort a fogszabályozó
